Red patches on the skin can occur due to a number of reasons. It could occur due to an infection, heat, allergens or immune system disorders. This article contains the possible causes of red patches on your skin and different treatment options you could use to get rid of the skin condition.
Seek immediate medical attention once you notice the redness, irritation, itching, swelling or inflammation on skin last for more than a day or two of using home remedies and over – the- counter medication.

Red patches on skin causes
As said, they is an array of possible causes that could lead to red and blotchy skin. Some of the causes might be serious causing harsh and severe symptoms, on the other hand, some causes might be mild and will clear on their own within a day or two. Here are some of the possible cause of red patches on skin.
Atopic dermatitis
Atopic dermatitis also called eczema is a chronic skin condition known to cause dry, itchy skin. As an atopic disease, eczema is in the same classification as hay fever and asthma. There are different types of eczema, a common fact about them is that all these type’s causes itching and redness on skin.
These types are hand eczema, contact dermatitis that occurs when skin makes contact with substance and dyshidrotic eczema, this is a blistering form of eczema that’s found only on the finger, palm and soles of feet.
Skin cancer
Cancer research UK, give the following as the possible signs of skin cancer.
- Painless spots or sore
- Ulcer
- A small slow-growing, shiny, pink or red lump
- Red patches on skin
Skin cancer is the most common form of cancer. Skin cancer is the uncontrolled growth of abnormal skin cell. Skin cancer is caused by unprepared DNA damage to skin cell most often caused by ultraviolet radiation from the sun. The damage will trigger mutation, a genetic defect that leads to skin cell multiplying rapidly to form a malignant tumor.
Psoriasis
Psoriasis is a long-lasting autoimmune disease characterized by patches of abnormal skin. Skin patches formed by psoriasis are typically red, itchy, and scaly. The patches may also vary in severity from small and localized to complete body coverage.

Mayo clinic says psoriasis is a common skin condition that changes the life cycle of skin cells. It causes the skin cell to build rapidly on the surface of the skin, the extra skin cells are what forms thick, silvery scales that are itchy, dry and red. They may also be severely painful at times.
Diaper rash
As the name suggest, this is a rash caused as a result of wearing diapers. It is a common form of dermatitis that appears as a patchwork of bright red skin mostly on baby’s bottom. The rash is related to wet or infrequently changed diaper, sensitive skin and chafing between inner thighs.
Red patches caused by diaper rash are common. Though the rash might be annoying to babies, it often clears up with simple home treatments such as air drying, more frequent diaper change and topical ointment to help keep the skin moisten and hydrated.
Bites and sting
Though most bites and string have little effect on your general health, bites from bees, wasps, and hornets can be painful and irritating. Some people are however allergic to bee sting, this could develop reactions that can be life-threatening.
Fungal infection around groin area
Jock itch is one of the most common forms of fungal infection of the skin. Jock itch is also referred to as tinea curries, and commonly affect your genitals, inner thighs, and buttock. Jock itch is known to cause an itchy, red and often ring-shaped rash.
The warm, moist areas of the body provide an ideal condition for the growth of the fungus causing this rash. It is common for people who sweat a lot and those who are overweight.
Impetigo
Apart from jock itch, another common infection known to cause redness on the skin is impetigo. Impetigo is a contagious bacterial skin infection forming pustules and yellow crusty sores on the skin. The red sores caused by impetigo are what break open, ooze fluid and develop a yellow-brown crust.
Impetigo sores can occur anywhere on the skin. This is a common skin infection in children, and it is caused by streptococcus bacteria.
Shingles rash
Red skin patches can also be caused by shingles. Shingles is an acute inflammation of the nerve ganglia. Shingle is a viral infection that causes a painful rash. The rash caused by shingles can appear anywhere on the skin.
Shingles will often appear as a single stripe of blisters that wraps around either the left or the right side of the torso [mayo clinic]. The rash is caused by varicella-zoster virus, the same virus known to cause chicken pox.
Scabies
Scabies is another contagious skin infection. Scabies is a contagious skin infestation by the mite Sarcoptes scabies. The infection occurs after mites burrow the skin to live and deposit eggs. The condition causes severe itching, the itching may be especially strong at night.
Hay fever
Hay fever is an allergy caused by pollen or dust, this causes the mucous membrane of the eyes and nose to become itchy and inflamed. With hay fever, you are likely to experience a runny nose and watery eyes.
Drug and food allergy
The other possible cause of red and patchy skin is drug and food allergy. A food or drug allergy is an abnormal reaction of the immune system to medication. A drug allergy could occur whether you are using over the counter, prescription or herbal drug. Some cases of drug allergy might be life threatening, as such, immediate medical attention is required.
A drug or food allergy can be shown by:
- Itchy skin rash
- Hives on different parts of the skin
- Severe itching
- Swelling and inflammation of the skin
- Wheezing
- And running nose
Rheumatic fever
Unlike most of the condition we have mentioned above, rheumatic fever is not contagious. It is a noncontagious acute fever marked by inflammation and severe pain in joints. Rheumatic fever is common in young people. It is a bacterial infection caused by streptococcus bacteria.
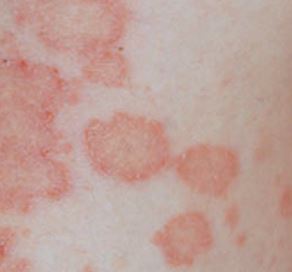
Red patches on skin pictures
We have provided you with some images and photos to help in the description of how different skin conditions causing the red patches appear. It is clear that the rash will vary from one condition to the other. Some of the images might be graphic, but we hope they will be of help.


Red patches on skin that itch and painful
Itchy and painful red patches on the skin can be annoying, discomforting and worrisome especially if you do not understand what the underlying cause is. The rash might cause irritation, a burning sensation and a continued urge to scratch.
A common cause of these symptoms is Cellulitis. Cellulitis is a common skin condition that results from the infection of the skin and the soft tissues underneath. Cellulitis occurs when a bacteria enters through a break in skin and spreads. This is what causes the infection which might result in swelling, redness, pain and a feeling of warmth.
Erysipelas is another infection that could cause the pain and itching on the skin. It is an acute, febrile infectious disease caused by a specific streptococcus. This infection is characterized by a deep-red inflammation of the skin or mucous membranes.
Chicken pox an acute contagious disease especially of children could also be the underlying cause of the redness and itchy painful bumps on the skin. Finally, Acne marked by the occurrence of inflamed and infected sebaceous glands in the skin is a possible reason for red pimples on face and other body parts. Acne is most common in children.
Red patches on skin baby
Babies are at risk of contracting different skin conditions. Red patches on the skin are one of the most common conditions. In a baby, red patches can be as result of any of the following.
- Ringworm a contagious itching skin condition that occurs in small circular patches. The condition is caused by a number of fungi, it commonly affects the feet and scalp. A common form of this infection is athlete’s foot.
- Diaper rash is common in children younger than 2 years, it is common for a child to get diaper rash at least once during the first three years of life.
- Measles is an infectious viral disease. It is known to cause fever and a red rash on the skin. Measles typical occurs in childhood.
- Candidiasis a fungal infection caused by candida also causing oral or virginal thrush
- Systemic lupus an autoimmune disease in which the body’s immune system mistakenly attacks healthy tissue. The condition can affect the skin, joints, kidney, the brain and other body organs.
- Hand, foot and mouth disease is another contagious viral infection common in young children.
- Juvenile rheumatoid arthritis often referred as juvenile idiopathic arthritis, this is a kind of joint inflammation and stiffness in children below 16 years.
- Acrodermatitis the inflammation of the skin of the extremities.
- Kawasaki disease which occurs primarily in young children. It is known to give rise to rash, granular swelling and sometimes damage to the heart.
- Dermatomyositis is an inflammation of the skin and underlying muscle tissue. The condition involves degeneration of collagen, discoloration, and swelling. It typically occurs as an autoimmune condition or associated with internal cancer.
Red patches on skin not itchy or raised
It is uncommon to have red patches on skin without itching or raised bumps. The following conditions are known to cause itching and red patches on the skin.
Lichen planus
Lichen planus is a skin rash triggered by the immune system. The condition can be uncomfortable but not dangerous as it clears on its own. Apart from skin, lichen planus can also occur inside the mouth. According to NHS UK, lichen plans is thought to affect close to 2% of world population.
Rosacea
Rosacea is a skin condition in which certain facial blood vessels enlarge giving the cheeks and nose a flushed appearance. Rosacea is a chronic condition that affects more than 16 million people. The underlying cause of this condition is unknown making it hard to treat the condition.
Rosacea will have the following symptoms:
- Redness and flushing of skin
- Dry, rough and scaly skin
- Stringing and burning skin
- Visible broken blood vessel
- Swollen skin
Swimmer’s itch
Swimmers itch also called cercarial dermatitis is a short-term immune reaction of the skin.
Ringworm
Ringworm a contagious disease of the skin is known to cause itching. Also known as -tinea corporis it is a fungal infection that affects the scalp and the feet.

Syphilis
An itchy skin can also be a sign of secondary syphilis. Secondary syphilis can be said to be a chronic bacterial disease contracted mainly by infection during sexual intercourse. In females, the infection can also be congenitally by infection of a developing fetus.
Shingles
Caused by the reactivation of the virus that causes chicken pox, shingles are an acute, painful inflammation of the nerve ganglia with skin eruption forming a girdle around the middle of the body.
Intertrigo
The red patches can also be caused by intertrigo, this refers to the inflammation of the skin caused by constant and continues rubbing between the skins. This is common on inner thighs and under armpits.
Red patches on skin during pregnancy
Red patches on skin during pregnancy is a quite common occurrence. There are a lot of changes that takes place during pregnancy. All these changes are controlled by natural chemicals called hormones. One common such hormones are progesterone. It is common for pregnant women to all over sudden become allergic to food and drinks she used to take before she was pregnant. This can also be true for some medicine.
An allergic reaction is thus a common cause of redness on the skin. Another such condition is pruritic urticarial papules and plaques of pregnancy. PUPPP is a chronic hive-like rash that strikes some women during pregnancy. The condition will in most cases begin on the abdomen and spread to the legs, feet, arms, chest and neck.
Other possible causes of red patches on skin during pregnancy might include:
- Toxic shock syndrome rash, this is an acute septicemia common in women. It is typically caused by a bacterial infection from retained tampon or Intrauterine Device.
- Trichinosis a parasitic disease caused by roundworm, the condition could result in diarrhea, abdominal pain, and vomiting. When left untreated, it could result in swelling of the face, inflammation of whites of eyes, muscles pain and an itchy skin rash
- Adult-onset still’s disease a rare systemic inflammatory disease characterized by a classic triad of persistent high spiking fever, joint pain, and distinctive salmon-colored bumpy rash.
- Typhus, this is an infectious disease caused by rickettsia. The condition is characterized by a red or purple rash, severe headache, and fever.
Treatment for red patches on skin
Treatment for red patches on the skin will vary depending on what the underlying cause of the redness is. For mild cases, natural home care options might be available. Due to this varying causes, it is difficult to offer a general treatment option for red, blotched skin. It is, therefore, important to first diagnose the underlying cause of the redness before you can attempt to get rid of the symptom.
For most cases of skin redness such as eczema, calamine lotion may offer relief for the itching caused by the rash on the skin. If the red skin persists for more than a day, then oral antihistamine may be used. Topical ointments such as anti-itching creams and anti-inflammatories may also be used. For fungal or bacterial infection causing the red patches on the skin, antifungal and antibacterial creams or gel may help in treating the conditions respectively.
As mentioned, the red skin could also be caused by anxiety or high-stress level. If this is the case, then treating the condition will involve adopting relaxation techniques such as slow breathing and other activities such as yoga and meditation.
Aloe Vera a naturally occurring anti-inflammatory may get rid of the redness on the skin by taking down the inflammation and cooling the skin. You will also need to:
- Maintain proper hygiene, always change your clothes after a hard day of working
- If the redness is caused by a reaction to a recent skin care product, then you will need to discontinue its use
- Anti-allergic medication might be help in cases of allergic reaction causing the redness
- Drink plenty of water and other fluids to keep your skin moist and hydrated
- For children wearing diapers, make sure to apply some powder and a mild petroleum jelly after and before wrapping him or her in one. Also remember to change the diaper often
- Seek medical attention if the rash last for more than 2 days
Sources and references:
- http://www.livestrong.com/article/264941-red-patches-on-skin-caused-by-heat/
- http://www.med-health.net/Red-Blotches-On-Skin.html
- https://medicorx.com/treating-red-dry-skin-patches-on-your-face/
- Common skin rashes: http://www.mayoclinic.org/skin-rash/sls-20077087
- Red spots on skin: http://www.medicinenet.com/red_spots_on_the_skin/symptoms.htm
- Common causes of skin rash: http://www.healthline.com/health/rashes
- http://www.calmclinic.com/anxiety/symptoms/red-blotches